Interesting Tech News from August 2020

This is a monthly column of curated tech news, highlighting interesting and/or valuable tech developments from the past month, which are impacting our society directly or indirectly. It also gives some vague sense of the trajectory that the technology as a whole is taking. The aim is to share the information concisely, in an easy to understand manner, help you fill some gaps on what you might have missed & learn something new.


FORTNITE, WORDPRESS, FACEBOOK, AMAZON AND APPLE APP STORE

AppStore is hugely important to all these companies and made headlines this month for the wrong reasons.

1-AppStore and Fortnite Facebook Wordpress.jpg
  • Fortnite added a direct payment system by-passing Apple Payment system, to its App, which was against AppStore rules, leaving Apple no option but to remove the game from the AppStore. Epic Games, owner of Fortnite, sued Apple. Epic’s argument is that a mobile device owner should have a choice where to make in-app purchases from. Although, it’s a fair argument but it’s not solid within this context because it’s not as if Apple introduced this new rule just now. Latest development has been that Apple users on all platforms won’t be able to use latest Fortnite content.

  • Wordpress app updates on the AppStore were locked by Apple because Apple apparently wanted Wordpress to commit to in-app purchases. But the App is free, so how does this apply to Wordpress? The App had references for buying WP plans, which Apple didn’t like. In the end, the references had been removed, Apple apologized for any confusion and things got sorted out.

  • Facebook launched a new feature allowing users to create paid online events. It also decided not to take any cut. In order to do that on AppStore, they asked apple to reduce 30% it takes, so that it can absorb the costs, which was again against App Store rules. So, Facebook decided to notify users on Apple devices that a 30% of the purchase will be taken by Apple, for transparency reasons. This notice was blocked by Apple. Now this blocking of transparency notice does not seem fair.

  • Amazon is levied less Apple tax, i.e. 15% instead of 30%, for in-app purchases through Amazon’s prime Video as compared to other Apps. Although, it’s a fair point that if you publish an App on the AppStore you must follow the rules, but this point loses its validity if special treatment is given to bigger companies. The rule should be applied equally.


SPOTIFY DID NOT LEARN ITS LESSON FROM ERICSSON’S MAJOR SERVICE OUTAGE

Source: Twitter - Louis Poinsignon@lpoinsig

Source: Twitter - Louis Poinsignon@lpoinsig

In 2018, Ericsson had a major service outage because of which cell service for millions of phones went offline. The cause was an expired certificate. Fast forward 2020, there was a disruption in Spotify’s service. Cause? Expired certificate.

Ever seen warning on your browser that a website you are about to visit is insecure? Cause? Most likely expired certificate.


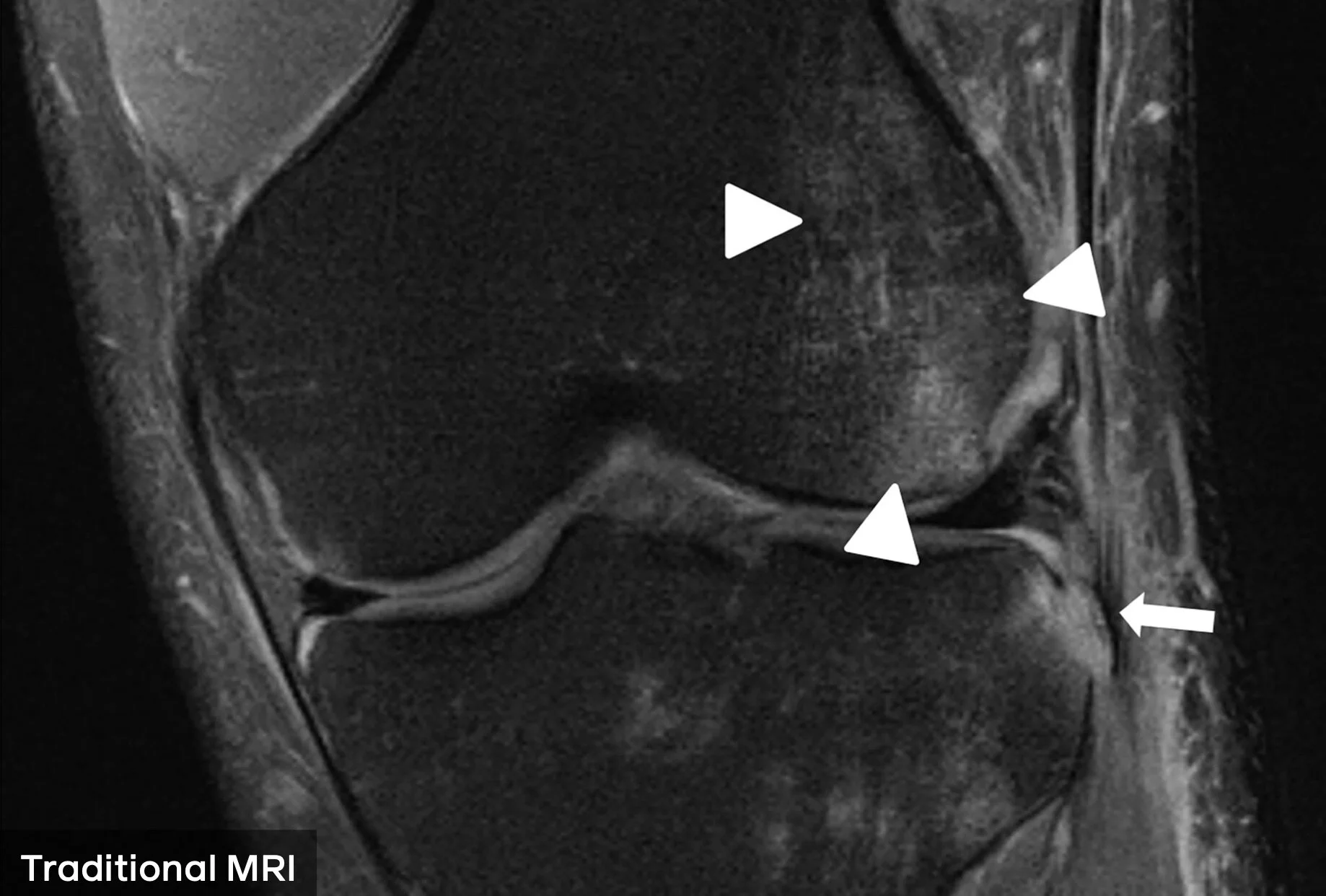
HOW AI MIGHT HELP YOU GETTING IN AND OUT OF MRI TUBE QUICKER

MRI scan can last from 15 to 90 minutes, depending on the a) size of the body that needs to be scanned and b) how many images need to be taken. For the duration of the scan, you will be asked to keep, the body part that needs to be scanned, still, otherwise images would come out blurry. You might be asked to hold your breath. You might hear unpleasant noises as well. And If you are claustrophobic, these minor anxious moments can turn into nervous, unpleasant and uncomfortable experiences.

One way of minimizing these unpleasant experiences is by reducing the time spent in the tube, without compromising the thoroughness, quality & accuracy of the scans, because otherwise this would lead to wrong diagnosis. This is where the AI comes. fastMRI is a research project run by Facebook and NYU. The aim is to be able to reproduce accurate scan images with 4x less data using AI image reconstruction technology. By being able to leverage less data, patient has to spend less time. You can read more about how the ML Model works here.

This is how a traditional MRI of a knee looks like Source: FB

This is how a traditional MRI of a knee looks like Source: FB

Full data was used for a traditional MRI Scan. Source FB

Full data was used for a traditional MRI Scan. Source FB

MRI scan result generated by the AI model. Source: FB

MRI scan result generated by the AI model. Source: FB

4x less raw data used for AI MRI scan. Source: FB

4x less raw data used for AI MRI scan. Source: FB


WHY CHINA IS BLOCKING WEB TRAFFIC WHICH IS USING STRICTER SECURITY PROTOCOL

Most of the websites use TLS1.2 for SSL. However, companies such as Google have already shifted towards TLS1.3 to enhance security and performance. TLS 1.3 protocol can offer more privacy by supporting encrypted Server Name Identification. Essentially, on TLS1.2, although most of the traffic data will be encrypted but not the website name which you enter in the browser, which can be read by firewalls or Internet Service Providers.

Connection to humblecravings.ca made without ESNI feature enabled. This is why the website name does not appear encrypted.

Connection to humblecravings.ca made without ESNI feature enabled. This is why the website name does not appear encrypted.

This changes with TLS 1.3 and ESNI. How? ESNI (Encrypted Server Name Identification) feature on TLS 1.3 protocol, will also encrypt the website name as well. Reportedly, China’s government doesn’t like that, as they won’t be able to tell, what website a user is trying to connect to. So, they are dropping traffic, which is using TLS 1.3 protocol with ESNI feature enabled.


ELON MUSK DEMONSTRATED CAPABILITIES OF NEURALINK DEVICE

“A FitBit in your skull with tiny wires”. Neuralink device purpose is to solve brain and spine problems, such as memory loss, brain damage etc. by implanting a device inside the human brain, which is seamless and looks totally normal. Also, in the future you might be able to summon your Tesla by just thinking about it in your head.

5b-Elon Musk Neuralink Dvice Demo .jpg

The device is less than your skull thickness, almost coin sized and fits such that it’s unnoticeable. It has sensors which wearable devices have and can be used all day and charged at night. The device can be implanted without anesthesia with the help of a surgical robot, which inserts the electrodes and replaces removed piece of the skull with the device.

Source: Neuralink

In the demo the Neuralink device, implanted in the pig’s head connected to her snout’s neurones, sent signals whenever the pig was touching something with her snout. These signals helped in reading the brain activity. Elon Musk also showed that Neuralink helped able to predict the position of all the limbs with high degree of accuracy. The device is also able to write on all channels, though no practical demonstration was shown for that function. The device has received breakthrough designation from FDA and Neuralink is preparing for human implantation soon. You can watch the full demo here.


MAJOR CYBER ATTACKS DISCOVERED IN THE MONTH OF AUGUST 2020

  • Canada Tax agency became the victim of cyber-attack. Thousands of its users’ accounts were breached using a credential stuffing technique. Do not use old passwords, which you think might be have been hacked in previous breaches. The agency had to shut down its online services as an additional safety measure.

  • Trading was halted in New Zealand stock exchange because of DDoS attacks which continued for 3 days.

  • Profile data of 235 million TikTok, Instagram and YouTube accounts were web scraped and made available publicly. Although, this can’t be termed as a hack or cyber-attack but that much data when made public can be used subsequently for phishing or spamming.

  • Although the ransomware attack on Tesla never materialized, it’s worth a mention. Tesla employee was offered $1million, to deploy ransomware on Tesla’s infrastructure, which obviously he did not accept and worked with FBI to thwart the attack.


NOTABLE TECH ACQUISITIONS IN AUGUST 2020


OTHER TECH NEWS FROM AUGUST 2020

  • Next time you plan to go to Florida, know that you might come across a genetically modified mosquitos, which are designed to kill female disease causing mosquitoes. What would be the long-term effects of this, nobody knows.

  • Oracle, Microsoft & Walmart or some other company? Who is going to buy TikTok. Its fate still not determined, after President Trump’s executive order seeking to ban the App. Furthermore, Chinese authorities might block the sale of critical AI technologies to foreign companies, complicating the already complicated negotiations.

  • Be always wary of when companies say they have deleted your data from the servers, after you request the deletion. A user found that his 1 year old data was not deleted from Instagram servers. Yes, it can take more than a month to remove data from the servers but in this case, it has been more than a year.

  • On 19th of August, Apple became the first $2 Trillion-dollar US company.

  • Facebook might not be looking forward to iOS14 release. One of the privacy features of iOS14 is that developers are now going to have ask for user permission before tracking the user or his/her device across apps. This will certainly make targeted advertisement difficult for Facebook, whose revenues predominantly come from ads.

  • If you are interested in Quantum Computing, you can now make use of Amazon’s Braket Quantum Computing service to develop and test your algorithms specifically built for QPUs (Quantum Processing Units).

  • The idea of AI, even writing code for humans doesn’t seem farfetched. Imagine, you express your intention regarding what you want the programme to do and the AI system writing it for you.

  • You won’t find Locate X product on Babel Street website, but they sold this product secretly to Federal Law Enforcement agencies, to track movement of users’ cell phone.

  • With iOS14 and macOS Big Sur, Apple will make sure that when you authenticate using SMS codes, Autofill only offers codes for the associated domain or subdomains. This is a nice security feature, which will make 2 factor authentication using SMS more secure.

Thank you and see you next month.


Previous
Previous

Google Nest Wi-Fi Router and Wi-Fi Points - Coverage in a 2 Floor House with a Basement

Next
Next

Interesting Tech News from July, 2020